When Pepper presented with two weeks of decreased appetite and low energy her veterinarian faced a diagnostic challenge familiar to anyone who works with geriatric patients: vague, non-specific symptoms that could point in multiple directions.
This is exactly the kind of case where Radimal's two-layer approach made all the difference:
🐕 Patient Overview
- Breed: Jack Russell Terrier
- Age: 14 years
- Presenting signs: 2 weeks of decreased appetite and activity, possible intermittent vomiting, dark stools, grade 3/6 heart murmur, occasional wheezing
- Bloodwork: Normal at primary clinic several days prior
- Current medications: Pepcid, probiotic, pyrantel, Entyce, cefpodoxime
With normal bloodwork but persistent clinical signs, imaging was pursued to investigate further. The question was: where to start looking?
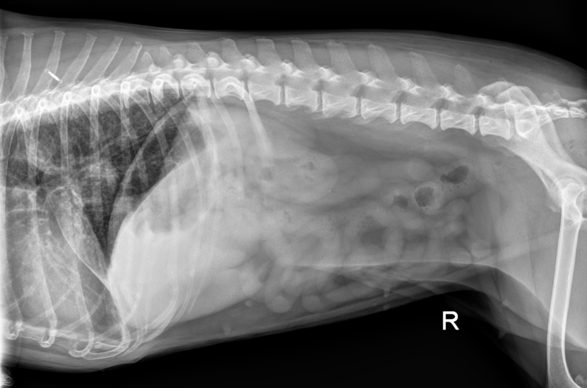
You can view Pepper's radiographs here.
🤖 AI Review: The First Alert

The AI screening flagged a complex, multi-system case. What appeared to be simple geriatric decline revealed abnormalities spanning several systems. The lung patterns suggested both bronchial disease and possible pneumonia. The heart showed enlargement with left atrial changes. The liver appeared enlarged. Even the GI tract showed signs of inflammation.
The critical question remained: what was the underlying cause connecting all these changes?
🩺 Specialist Review: The Full Picture

A board-certified veterinary radiologist reviewed the images and identified the key patterns that tied everything together:
Thoracic findings:
- Moderate to marked tracheobronchial lymphadenomegaly (3cm soft tissue opacity caudodorsal to cardiac silhouette, at the carina)
- Bilateral mild to moderate pleural effusion (bilateral thick pleural fissures)
- Diffuse bronchial and peribronchial pattern, most marked in caudodorsal lung fields
- Cardiac silhouette at upper limit of size (3.5 intercostal spaces)
- Suspected right cardiomegaly, possibly cor pulmonale
Abdominal findings:
- Right renal silhouette caudally displaced with border effacement of adjacent hepatic silhouette
- Suspected right cranio-dorsal peritoneal/retroperitoneal mass (adrenal, lymphatic, or hepatic origin possible)
The diagnosis: The association of these findings was most consistent with neoplastic disease, lymphoma being the top differential, which could explain all thoracic findings and the GI signs. Chronic infectious bronchopneumopathy (particularly fungal) was also considered given the satellite lymphadenopathy.
💡 Did you Know?
Tracheobronchial lymphadenomegaly is one of the most commonly missed findings on thoracic radiographs. On lateral views, it's often obscured by the cardiac silhouette. On VD/DV views, it appears as a soft tissue opacity superimposed over the spine at the carina: exactly where many practitioners don't look closely. In Pepper's case, this 3cm mass was the key finding that shifted the entire diagnostic direction from "geriatric changes" to "systemic disease."
📋 From Nine Findings to One Answer
Instead of chasing nine separate abnormalities, Pepper's veterinary team now had a cohesive picture and a clear path forward:
Recommended diagnostics:
- Thoracocentesis with pleural fluid analysis (cytology +/- culture)
- Thoracic CT +/- BAL depending on fluid results
- Abdominal ultrasound to evaluate the suspected mass and assess for organomegaly or neoplastic infiltration
- FNA of any palpable peripheral lymph nodes
- CBC with smear to evaluate for circulating neoplastic cells
What started as "just not eating well" became a focused investigation into likely lymphoma or fungal disease: two very different conditions requiring very different approaches, but both now on the differential with a clear diagnostic roadmap.
❤️ Why Both AI and Specialist Matter
Pepper's case shows how these two services complement each other:
- AI screening catches patterns across multiple systems, ensuring nothing is missed.
- Specialist interpretation connects those patterns into a cohesive diagnosis, distinguishes primary from secondary changes, and provides a prioritized diagnostic roadmap.
Together, they transform uncertainty into clarity. And as we all know, that clarity can be life-saving 🙌